TOOTH CLEANINGS in kakinada

Tooth Cleaning:

The Foundation for Healthy Teeth and Gums

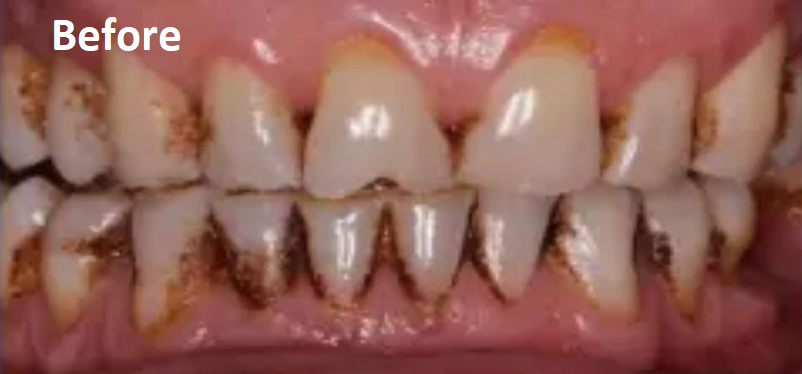
Tooth cleaning, also known as professional dental cleaning or scaling, is a preventive dental procedure performed to remove plaque, tartar, and stains from teeth. Professional Tooth Cleaning in Kakinada helps maintain oral hygiene, prevents gum disease, and keeps your smile fresh and healthy.

Even with regular brushing and flossing, plaque can build up in hard-to-reach areas. Over time, this plaque hardens into tartar, which cannot be removed at home. Professional tooth cleaning is essential to prevent dental problems and maintain long-term oral health.

Why Is Tooth Cleaning Important?

Your oral health plays a vital role in your overall well-being. Poor oral hygiene can lead to gum disease, bad breath, cavities, and even tooth loss.

You may need professional tooth cleaning if:

  • Your gums bleed while brushing
  • You have persistent bad breath
  • You notice yellow or brown deposits on teeth
  • Your gums appear swollen or tender
  • You want to maintain healthy teeth and gums

Regular Tooth Cleaning in Kakinada helps you smile, speak, and eat comfortably with confidence.

Types of Tooth Cleaning Procedures

  1. Prophy Polishing
  • Routine dental cleaning for healthy teeth and gums
  • Uses a rubber cup and polishing paste
  • Removes plaque, surface stains, and food debris
  1. Ultrasonic Cleaning
  • Uses high-frequency vibrating scaler with water spray
  • Breaks down hard calculus (tartar) and plaque
  • Faster and more effective for heavy deposits
  1. Scaling & Root Planing
  • Deep cleaning procedure for gum disease (periodontitis)
  • Removes plaque and calculus from below the gum line
  • Smoothens root surfaces to promote gum reattachment
  1. Air Polishing
  • Uses air, water, and fine powder spray
  • Removes stains and biofilm gently
  • Less abrasive and comfortable for patients
Types of Tooth Cleaning Procedures
BenefitsofToothCleaning

Benefits of Tooth Cleaning

  • Prevents gum disease and tooth decay
  • Removes plaque and tartar buildup
  • Improves gum health
  • Reduces bad breath
  • Enhances the appearance of your smile
  • Helps maintain long-term oral health

With regular Tooth Cleaning in Kakinada, you can avoid complex dental treatments in the future.

Who Should Get Tooth Cleaning?

Tooth cleaning is recommended for:

  • Children and adults of all ages
  • Patients with gum disease
  • Smokers and tobacco users
  • Patients with braces or dental restorations
  • Anyone aiming to maintain good oral hygiene

Your dentist will advise how frequently you should undergo professional cleaning based on your oral condition.

Advanced Techniques Used for Tooth Cleaning

  • Ultrasonic Scaling
    Uses high-frequency vibrations to remove plaque, calculus, and stains from tooth surfaces and below the gum line. Water spray helps flush out debris and bacteria.
  • Air Polishing
    A mixture of air, water, and fine powder is sprayed onto the tooth surface to remove surface stains and soft plaque. It is gentle, quick, and improves tooth smoothness.
  •  Laser Bacterial Removal
    Dental lasers are used to eliminate bacteria from periodontal pockets and infected areas. This method reduces inflammation, promotes healing, and minimizes discomfort.
AdvancedTechniquesUsedforToothCleanin

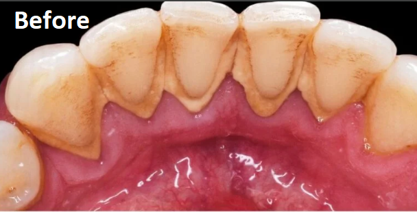
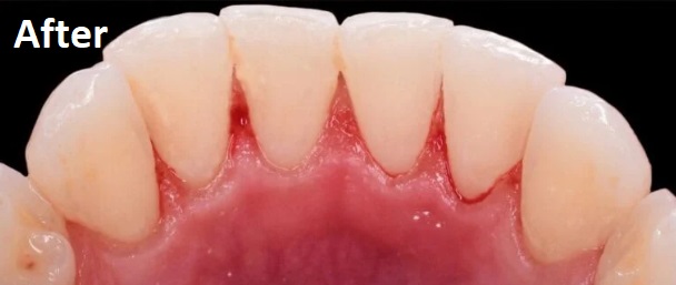
The Result

Professional tooth cleaning results in healthier gums, cleaner teeth, fresher breath, and a brighter smile. Patients often experience improved comfort while eating and speaking, along with increased confidence.

After Treatment Care

Just like your natural teeth, maintaining results after tooth cleaning requires proper care:

  • Brush twice daily
  • Floss regularly
  • Avoid smoking and tobacco
  • Use dentist-recommended toothpaste
  • Visit your dentist every 6 months

With regular care and professional Tooth Cleaning in Kakinada, your teeth can remain healthy for a lifetime.

Tooth Cleaning FAQ & details of the procedure

Tooth cleaning is a professional dental procedure that removes plaque, tartar, and stains from teeth. It helps maintain healthy gums and prevents dental problems such as cavities and gum disease.

Most people should undergo professional tooth cleaning once every six months. However, patients with gum disease or heavy plaque buildup may require more frequent cleanings as advised by the dentist.

Tooth cleaning is generally painless. Some patients may experience mild discomfort or sensitivity, especially if there is heavy tartar buildup or gum inflammation, but it is temporary.

No, professional tooth cleaning does not damage teeth. It safely removes harmful deposits that brushing and flossing cannot eliminate, helping protect your teeth and gums.

Yes, tooth cleaning can remove surface stains caused by tea, coffee, smoking, and food habits. However, it does not change the natural color of teeth like teeth whitening.

Some patients may experience temporary sensitivity after tooth cleaning, especially if tartar was removed from below the gum line. This usually resolves within a few days.

Yes. Even with regular brushing and flossing, plaque can build up in hard-to-reach areas and turn into tartar, which can only be removed through professional tooth cleaning.

Yes, tooth cleaning is safe and recommended for children. Regular cleaning helps prevent cavities and teaches children the importance of good oral hygiene.

A routine tooth cleaning session usually takes about 30 to 45 minutes. Deep cleaning procedures may take longer depending on the condition of the teeth and gums.

After tooth cleaning, it is best to avoid smoking, tobacco, and strongly colored foods or beverages for a few hours. Maintaining good oral hygiene helps preserve the results.

Rated ★★★★★ by Our Patients

Google Rating Score:5.0 of 5, based on 2079 Reviews