Teeth Whitening in Kakinada
Teeth whitening
Everyone dreams of a radiant, enchanting smile that could light up any room and captivate attention. While regular oral care is essential, some smiles naturally possess a softer, subtler glow. If your smile feels more like a hidden treasure rather than a sparkling gem, professional teeth whitening in kakinada can unveil its magical brilliance, giving you the dazzling smile you’ve always imagined.
Tooth whitening is a cosmetic dental procedure designed to lighten the color of teeth, enhancing their appearance and contributing to a brighter, more confident smile. Utilized in dentistry for decades, tooth whitening is particularly effective on mildly discolored teeth, while darker stains, such as those resulting from antibiotics, may require more extensive treatment.
Ideal Candidates
Tooth whitening is best suited for patients who:
• Have healthy, unrestored teeth without fillings.
• Desire a noticeably brighter smile through professional Teeth Whitening in Kakinada.
Causes of Tooth Discoloration
Common factors contributing to tooth discoloration include:
• Aging
• Consumption of staining substances (coffee, tea, colas)
• Smoking
• Dark dental stains
• Congenital discoloration
• Antibiotic-induced stains (e.g., Tetracycline)
Discoloration of a Single Tooth
When a single tooth becomes darker due to trauma, internal staining, or previous dental procedures, targeted whitening treatment is recommended. The dentist evaluates the cause of discoloration and performs localized whitening to improve the shade of the affected tooth.
This approach ensures that the treated tooth blends naturally with the surrounding teeth in color and appearance.
Generalized Tooth Discoloration
When multiple teeth are discolored, professional full-mouth teeth whitening is the ideal solution. This treatment improves the overall brightness and uniformity of the smile.
Professional whitening provides even results, protects the enamel, reduces sensitivity, and delivers longer-lasting results compared to over-the-counter whitening products.
Generalized Tooth Discoloration
When multiple teeth are discolored, professional full-mouth teeth whitening is the ideal solution. This treatment improves the overall brightness and uniformity of the smile.
Professional whitening provides even results, protects the enamel, reduces sensitivity, and delivers longer-lasting results compared to over-the-counter whitening products.
The Treatment Steps
The first step involves a thorough dental examination to ensure teeth and gums are healthy. Professional cleaning may be done to remove surface plaque and stains.
The second step includes protecting the gums and soft tissues, followed by the application of professional whitening gel on the teeth.
The final step involves activating the whitening agent (if required), rinsing, polishing, and providing post-treatment care instructions. The teeth appear visibly whiter after completion.
Whitening Options Available
In-Clinic Teeth Whitening
This treatment is performed at the dental clinic using advanced whitening systems. It provides fast and noticeable results, often within a single visit.Take-Home Teeth Whitening
Customized trays with dentist-approved whitening gel are provided for home use. This option allows gradual whitening under professional guidance.Modern Teeth Whitening Techniques
Advanced whitening technology allows precise application of whitening agents, ensuring safety and comfort. These techniques help minimize tooth sensitivity while delivering effective and predictable results.
Modern whitening methods provide controlled treatment with improved patient comfort and natural-looking outcomes.
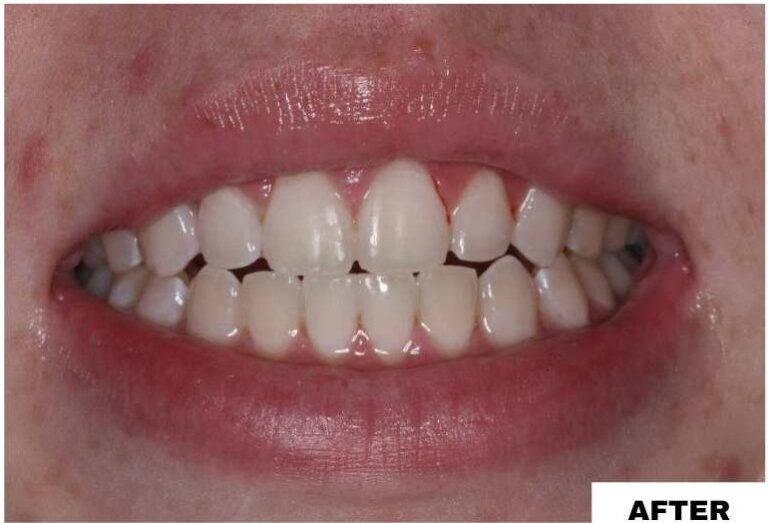
The Result
Professional Teeth Whitening in Kakinada results in visibly brighter teeth, enhanced smile aesthetics, and improved self-confidence. The procedure involves minimal discomfort and no downtime, allowing patients to resume normal activities immediately.
After Treatment Care
Whitened teeth require proper maintenance, similar to natural teeth:
- Brush and floss regularly
- Avoid staining foods and beverages
- Avoid smoking and tobacco
- Attend regular dental check-ups
Following these instructions helps maintain whitening results for a longer period.
Teeth whitening – Frequently Asked Questions (FAQs)
Teeth whitening is a professional dental procedure used to remove stains and discoloration from teeth, improving their overall brightness and appearance.
Yes. Professional teeth whitening performed by a dentist is safe. The procedure uses clinically approved whitening agents that do not damage teeth or gums when applied correctly.
Results can last from several months to over a year, depending on oral hygiene, diet, smoking habits, and regular dental check-ups.
Some patients may experience mild sensitivity, which is temporary. Special desensitizing agents and customized treatment plans help minimize discomfort.
Most natural teeth respond well to whitening. However, dental crowns, veneers, and fillings do not change color and may need replacement after whitening for shade matching.
In most cases, noticeable results are achieved in a single in-clinic session. Some patients may require additional sessions depending on the level of discoloration.
Teeth whitening is suitable for individuals with healthy teeth and gums. A dental examination is necessary before treatment to determine suitability.
Yes, but smoking can reduce the longevity of whitening results. Patients are advised to limit or avoid smoking after the procedure.
Professional whitening is safer, faster, and more effective than over-the-counter products. It provides even results with minimal risk of gum or enamel damage.
Yes. Teeth whitening can be safely repeated after a certain period, as advised by the dentist, to maintain brightness.
Rated ★★★★★ by Our Patients
Google Rating Score:5.0 of 5, based on 2179 Reviews
Posted on Dvr 8333Trustindex verifies that the original source of the review is Google. I had filling treatment done in Sbm dental hospital by Dr Savinash and Dr Prathyusha, and my experience was excellent too goodPosted on SatsGTrustindex verifies that the original source of the review is Google. Excellent service. Highly recommend this dental clinic for all your dental needs.Posted on Kusuma KommireddyTrustindex verifies that the original source of the review is Google. Had a great experience for scaling and fillings treatment. The procedure was very smooth and comfortable. Doctor ensured I was relaxed throught clinic atmosphere is clean and well maintained and highly satisfied in kakinadaPosted on Kommireddy Chandhra VamsiTrustindex verifies that the original source of the review is Google. I recently had a root canal treatment and tooth extraction done by dr. Savinash and i am very satisfied with the treatment the doctor was very patient kind and explained the entire procedure clearly before starting i was very nervous at furst but he made me feel comfortable and calm throught the process the root canal treatment was done smoothly with very minimal pain and the extraction was also handled carefully and professionally the clinic was clean and well maintained and the staff were friendly and supportive and i highly reccomeded the hospital in kakinadaPosted on Arun Teja MarakaniTrustindex verifies that the original source of the review is Google. Very much satisfied with my wisdom teeth removal procedure by Dr. Savinash. He is really skilled and highly professional; effectively communicating crystal clear operative and post op information and instructions. He was very patient throughout, addressing all of my concerns and clarifying even the slightest of doubts. The staff was amazing and supportive. Will highly recommend Dr. Savinash to everyone thinking of getting dental procedures in Kakinada!Posted on Siva BhanuTrustindex verifies that the original source of the review is Google. Excellent dental clinic! Doctors and staff are very friendly and professional clinic is clean and treatment was painless.i felt very comfortable. Highly recommendPosted on KumarrkTrustindex verifies that the original source of the review is Google. ExcelentPosted on Srivalli ChodisettiTrustindex verifies that the original source of the review is Google. Excellent treatment, and best hospital in kakinadaPosted on Harish HarishTrustindex verifies that the original source of the review is Google. I satisfied with all service I received.. Good and excellent servicePosted on solomon RajuTrustindex verifies that the original source of the review is Google. Excellent treatment, painless treatment, Dr.savinash garu