Wisdom Teeth Removal in kakinada

Wisdom Teeth Removal in Kakinada:

Safe, Comfortable & Effective Care

Wisdom teeth are the last set of molars that usually erupt between the ages of 17 and 25. In many cases, these teeth do not have enough space to grow properly, leading to pain, infection, swelling, or damage to nearby teeth. Wisdom Teeth Removal in Kakinada is a common and safe dental procedure performed to prevent or relieve these problems.

At our dental clinic, wisdom teeth removal is carried out by experienced dental surgeons using advanced techniques to ensure patient comfort and faster healing.

WisdomTeethRemovalinKakinadaSafeComfortableEffectiveCar (2)

What Is Wisdom Teeth Removal?

Wisdom teeth removal is a surgical dental procedure in which one or more wisdom teeth are extracted. These teeth may be impacted (trapped under the gums or bone), partially erupted, or misaligned. Removing problematic wisdom teeth helps maintain oral health and prevents future dental complications.

Why Wisdom Teeth Removal Is Needed?

Wisdom teeth often cause problems such as:

  • Pain or pressure at the back of the jaw
  • Swelling and infection of gums
  • Difficulty in opening the mouth
  • Tooth decay due to improper cleaning
  • Damage to adjacent teeth
  • Formation of cysts or abscess

Wisdom Teeth Removal in Kakinada helps eliminate these issues and protects your long-term oral health.

SymptomsIndicatingWisdomTeethRemova

Symptoms Indicating Wisdom Teeth Removal

You may require wisdom teeth removal if you experience:

  • Persistent jaw pain
  • Red, swollen, or bleeding gums
  • Bad breath or unpleasant taste
  • Headache or ear pain
  • Difficulty chewing

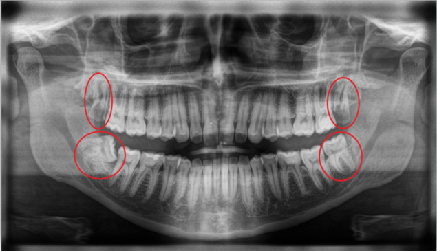
A dental examination and X-ray help determine the position of wisdom teeth and the need for removal.

Wisdom Teeth Removal Procedure

The Treatment Steps

The first step is a detailed clinical examination and digital X-ray to assess the position of the wisdom tooth and surrounding structures. The second step involves administering local anesthesia to ensure a painless procedure. In some cases, sedation may be recommended. The third step is the surgical removal of the wisdom tooth. If the tooth is impacted, a small incision may be made in the gum and bone to safely extract the tooth. The final step includes cleaning the area and placing sutures if required. Post-operative instructions are provided to support proper healing.

Removal of a Single Wisdom Tooth

When only one wisdom tooth is causing discomfort or infection, targeted removal is performed. This helps relieve pain quickly while preventing further complications.

Removal of Multiple Wisdom Teeth

In cases where two, three, or all four wisdom teeth are problematic, multiple extractions may be recommended in a single visit. This approach reduces overall recovery time and future dental issues.

Advanced Technology for Wisdom Teeth Removal

Surgical Drill with Irrigation

This technology uses a high-precision drill combined with continuous water irrigation to safely remove bone around impacted wisdom teeth. The irrigation cools the area, reduces heat damage, and improves visibility, making the procedure faster and more comfortable.

Specialized Dental Forceps

Specially designed forceps provide a firm grip on the wisdom tooth, allowing controlled and gentle extraction. They minimize trauma to surrounding gums and bone, helping reduce pain, swelling, and recovery time after the procedure.
AdvancedTechnologyforWisdomTeethRemova

The Result

Wisdom teeth removal provides:

  • Relief from pain and infection
  • Improved oral hygiene
  • Prevention of future dental problems
  • Faster recovery with proper care

Patients often experience significant improvement in comfort and oral health after the procedure.

After Treatment Care

After wisdom teeth removal, proper care is essential:

  • Follow prescribed medications
  • Avoid hard or spicy foods
  • Maintain oral hygiene as advised
  • Avoid smoking for proper healing
  • Attend follow-up appointments

With proper aftercare, healing is smooth and complications are rare.

Tooth Cleaning FAQ & details of the procedure

Tooth cleaning is a professional dental procedure that removes plaque, tartar, and stains from teeth. It helps maintain healthy gums and prevents dental problems such as cavities and gum disease.

Most people should undergo professional tooth cleaning once every six months. However, patients with gum disease or heavy plaque buildup may require more frequent cleanings as advised by the dentist.

Tooth cleaning is generally painless. Some patients may experience mild discomfort or sensitivity, especially if there is heavy tartar buildup or gum inflammation, but it is temporary.

No, professional tooth cleaning does not damage teeth. It safely removes harmful deposits that brushing and flossing cannot eliminate, helping protect your teeth and gums.

Yes, tooth cleaning can remove surface stains caused by tea, coffee, smoking, and food habits. However, it does not change the natural color of teeth like teeth whitening.

Some patients may experience temporary sensitivity after tooth cleaning, especially if tartar was removed from below the gum line. This usually resolves within a few days.

Yes. Even with regular brushing and flossing, plaque can build up in hard-to-reach areas and turn into tartar, which can only be removed through professional tooth cleaning.

Yes, tooth cleaning is safe and recommended for children. Regular cleaning helps prevent cavities and teaches children the importance of good oral hygiene.

A routine tooth cleaning session usually takes about 30 to 45 minutes. Deep cleaning procedures may take longer depending on the condition of the teeth and gums.

After tooth cleaning, it is best to avoid smoking, tobacco, and strongly colored foods or beverages for a few hours. Maintaining good oral hygiene helps preserve the results.

Rated ★★★★★ by Our Patients

Google Rating Score:5.0 of 5, based on 2079 Reviews