Dental implants treatment in Kakinada
Dental Implants
Dental Implants: Teeth That Look and Feel Like Your Own
A dental implant is an artificial tooth root that a Implant Surgeon places into your jaw to hold a replacement tooth or bridge. Dental implants are an ideal option for people in good general oral health who have lost a tooth or teeth due to periodontal disease, an injury, or some other reason. While high-tech in nature, dental implants are actually more tooth-saving than traditional bridgework, since implants do not rely on neighboring teeth for support.
Dental implants are so natural-looking and feeling, you may forget you ever lost a tooth. You know that your confidence about your teeth affects how you feel about yourself, both personally and professionally. Perhaps you hide your smile because of spaces from missing teeth. Maybe your dentures don’t feel secure. Perhaps you have difficulty chewing. If you are missing one or more teeth and would like to smile, speak and eat again with comfort and confidence, there is good news! Under proper conditions, such as placement by a Implant Surgeon and diligent patient maintenance, implants can last a lifetime.
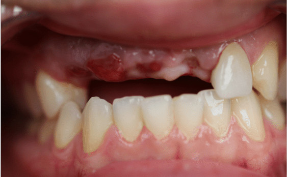
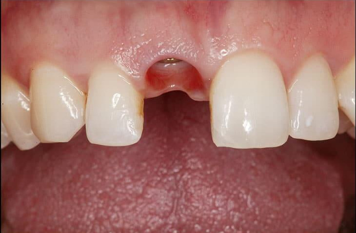
Replacement of a single tooth.
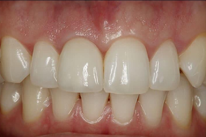
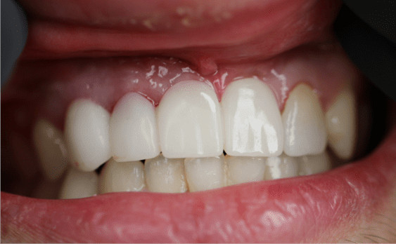
When both the tooth and root are damaged, the best permanent replacement is a dental implant in conjunction with a ceramic crown. This solution both looks and functions just like a natural tooth.
The most common method for replacing a single missing tooth is with a fixed bridge that is cemented to the teeth on either side of a missing tooth. With all fixed bridges the teeth adjacent to the space must be reduced to properly hold the bridge. The most conservative bridge is a Resin-Bonded Bridge (RBB), sometimes called a Maryland bridge. the resin-Bonded Bridge offers the advantage of minimal reduction of adjacent teeth to support the missing tooth. this type of bridge can only be used under certain circumstances.
A conventional bridge requires that the teeth on either side of the space be reduced in size to take room for crown which are then cemented onto the prepared teeth. The artificial replacement tooth is attached to these crowns prior to cementation. when properly maintained, the resin bonded bridge and the conventional bridge can last many years. Implants can be considered to replace a single tooth. Often when the teeth on either side of the space are in good health, an implant may be the most conservative means of replacing the missing teeth because the adjacent teeth do not have to be reduced. The treatment Steps
- The First Stepis the placement of the titanium implant. The implant will remain covered underneath the gum for approximately 3 to 6 months. During this time, the implant should fuse to the bone.
- The second stepof procedure involves uncovering the implant and attaching a post. This completes the foundation on which your new tooth will be placed. In some instances, the implant dentist may decide to place the post at the time of the initial surgery.
- The final step is the placement of your new tooth by your dentist. With techniques that ensure optimal size, shape, color and fit, this replacement tooth should blend with your remaining teeth.
Replacement of a Several teeth.
When two or three adjacent teeth are missing, a bridge may be the treatment of choice depending on the condition of the teeth next to the space and the bone supporting these teeth. The more missing teeth to be replaced, the greater the force that is placed on the remaining teeth which support the artificial teeth.
In some cases, when there are not enough teeth, a conventional bridge is not possible and a removable rartial denture will have to be considered to replace the missing teeth. A partial denture spreads the force to the adjacent teeth as well as to the underlying bone and gum tissue. A removable partial denture is less expensive than a conventional bridge. However, a partial denture is more bulky and less stable than a bridge and often times metal clasps will be seen when smiling. In some cases, the partial denture may cause deterioration of the natural teeth due to excessive forces.
When an implant is placed in the space where the teeth are missing, it can help by absorbing some of the load created by chewing forces and therefore make it eassier for the adjacent natural teeth to withstand the forces. When an implant is placed in the space where the teeth are missing, a bridge may be considered instead of a removable partial denture.
The Treatment Steps
- The first step is the placement of the titanium implants to replace lost teeth. These implants will remain covered underneath the gum for approximately 3 to 6 months. During this time, the implant should fuse to the bone.
- The second step of procedure involves uncovering the implant and attaching a post to each implant. This completes the foundation on which your teeth will be placed. In some instances, the implant dentist may decide to place the posts at the time of surgery.
- The final step is the placement of your new teeth by your dentist. With techniques that ensure optimal size, shape, color and fit, your replacement teeth should blend with your facial characteristics while providing support needed for natural appearance.
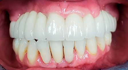
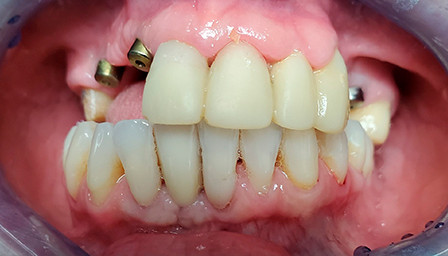
Replacement Of All Teeth with Dental Implants
We provide this amazing service for our patients. If you have lost all your upper or lower teeth or even both, it is possible to effectively replace them with dental implants. Patients who have had this service, did not have to use dentures any more, felt a sense of freedom, joy and improved self-esteem. They noted, eating, speaking and socializing was more enjoyable.
Fixed implant over denture with ball and socket mechanism
Teeth in one day concept with dental implants
Healthy teeth make life more enjoyable, giving you a sense of well-being, and general comfort. A beautiful smile enhances your appearance and can provide added confidence and presence.
Teeth-in-an-Hour treatment concept.
The new concept
The new concept represents a giant step forward in the development of implant treatment protocols that are easier and more patient friendly. By combining a unique planning program, a surgical template and the immediate loading concept , it is possible to surgically place implants in bone using a flapless approach and to insert a fixed bridge during a single appointment.
Treatment solution
At the present time, this treatment solution is only intended for edentulous jaws where:
- Sufficient amount of jaw bone exists
- The quality of the jaw bone is adequate for immediate loading
- Opening the mouth at least 50 mm is possible (important especially for lower jaws while teeth are present in the opposite jaw)
- The health of the patient is not compromised
A unique planning and treatment solution
The Teeth-in-an-Hour protocol is a unique solution made possible by the Procera System. A custom fabricated precision drill guide and a pre-manufactured prosthesis, based on CT images and virtual planning, can be made before surgery. The major decisions of the treatment are made during the planning. The execution of the implant placement that follows is performed with minimal surgical intervention.
Computerised Technology
The rapid development of computerised tomography (CT) scan techniques with decreased radiation and 3D computerised imaging technology has made it possible to fully visualise the placement of implants in a real 3D environment.
High Precision
The use of surgical templates to place implants has been shown to provide added value and surgical templates with high precision sleeves have optimised prosthetic rehabilitation since planning is both anatomically and prosthetically driven.
The Result
Teeth-in-an-Hour allows the possibility to provide patients fiexd, well-functioning, and esthetic prostheses on implants in less than an hour. This gives fantastic experience for your patients with Greatly reduced healing time and no significant pain nor swelling
After Treatment Care
As you know, your own teeth require conscientious at-home oral care and regular dental visits. Dental implants are like your own teeth and will require the same care. In order to keep your implant clean and plaque-free, brushing and flossing still apply !!!
Dental Implants FAQ & Details of the Procedure
A dental implant is an artificial tooth root replacement and is used in prosthetic dentistry. Implants can provide people with dental replacements that are both functional and aesthetic. A dental implant involves a titanium screw that is placed into the jaw bone. It acts as an anchor for a false tooth or a set of false teeth.
Implants can provide people with dental replacements that are both functional and esthetic. After a dental implant restoration is perfectly constructed, neither the patient nor anyone else should have any hint that an implant is there.
Anyone in reasonable health who wants to replace missing teeth is a candidate for dental implants. You must have enough bone in the area of the missing teeth to provide for the anchorage of the implants. If you do not have enough bone to support a dental implant, bone grafts can be placed. Implants are used to replace small bridges, removable partial dentures and even missing single teeth.
A typical implant consists of a titanium screw, with a roughened surface. This surface is treated either by plasma spraying, etching or sandblasting to increase the integration potential of the implant. At edentulous (without teeth) jaw sites, a pilot hole is bored into the recipient bone, taking care to avoid vital structures (in particular the inferior alveolar nerve within the mandible).
This pilot hole is then expanded by using progressively wider drills. Care is taken not to damage the osteoblast cells by overheating. A cooling saline spray keeps the temperature of the bone to below 117 degrees Fahrenheit (approx) or 47 degrees Celsius. The implant screw can be self-tapping, and is screwed into place at a precise torque so as not to overload the surrounding bone. Once in the bone, a cover screw is placed and the operation site is allowed to heal for a few months for integration to occur.
After some months the implant is uncovered and a healing abutment and temporary crown is placed onto the implant. This encourages the gum to grow in the right scalloped shape to approximate a natural tooth’s gums and allows assessment of the final aesthetics of the restored tooth. Once this has occurred a permanent crown will be constructed and placed on the implant.
A dental implant is surgically placed under local anesthesia causing the procedure to be generally not at all painful.
How long after a dental implant is placed can it be used to anchor my new teeth?
In earlier days, the waiting time was three months in the lower jaw and six months in the upper jaw before beginning to construct the new dental prosthesis that is supported by the implants.
In recent years, an increasingly common strategy to preserve bone and reduce treatment times includes the placement of a dental implant into a recent extraction site. In addition, immediate loading is becoming more common as success rates for this procedure are now acceptable. This can cut months off the treatment time and in some cases a prosthetic tooth can be attached to the implants at the same time as the surgery to place the dental implants.
Dental implants are not susceptible to dental caries but they can develop a periodontal condition called peri-implantitis where correct oral hygiene routines have not been followed. Risk of failure is increased in smokers. For this reason implants are frequently placed only after a patient has stopped smoking as the treatment is very expensive.
Although there are not many things that can go wrong with dental implants, some of the problems could be:
- Failure to integrate into the bone resulting into the falling out of the implant.
- A fracture or breaking of the implant.
- Problems with the connection between the implant and the prosthesis.
- An infection or an inflammatory condition in the soft tissue and sometimes in the bone as a result of the implant placement.
- Damage to the nerves in the lower jaw and to the maxillary sinus or the nasal cavity.
All of these complications are rare and can usually be easily corrected.
Some discomfort may occur once the effect of the anesthesia wears off about three or four hours after the procedure. Most patients do not have significant problems although the level of discomfort varies from patient to patient. Some patients do have varying degrees of pain or discomfort which may last for several days. Swelling and black and bluing may also develop.
You should call upon your dentist when there is prolonged pain as this is not a good sign with dental implants. Having prolonged pain does not always mean failure but the cause of the pain should be determined as soon as possible.
The implant may have to be removed if an infection develops or if the implant is not properly integrating into the adjacent bone.
In occasional cases when the dental implants fail or are rejected, they can be replaced with another implant, usually of a slightly larger size. The rate of failure is only about 1-5%. This might be somewhat higher in smokers and people with compromised immune systems. The key element to determining implant success is proper diagnosis and treatment planning.
- Noble Biocare(sweeden) modified version of brane mark
- Uniti Implant System(Netherlands)
- Bio Horizon (U.S.A)
Rated ★★★★★ by Our Patients
Results with laser tooth whitening is chilling. I am so happy with whiter tooth. It changed my way of smile and looks also. Thank you sowjanya sangani mam for the nice and professional work. I recommend this hospital
Good Hospital and Nice Services.I came for tooth whitening and the results are satisfactory.Ofcourse little costly but the German whitening kit is worthy is my feeling.
I visited SBM dental Hospital kakinada for Dental filling, I'm totally impressed with this hospital overall I just loved the treatment and doctor's are so friendly..... Highly recommend...
Best Dental Hospital in kakinada .I had two dental implants placed in my mouth.
Very Good and absolutely painless.Thanq Dr Satish garu and sbm dental hospital staff.
I recently had a dental scaling procedure done and I'm very happy with the results. The process was smooth and comfortable. The dentist was very professional and explained everything clearly before starting. Thank you sir
I took treatment at SBM Dental Clinic. I felt really good about it.
Now I am very happy because my smile looks very beautiful. Thank you SBM and staff for the good service.
Google Rating Score:5.0 of 5, based on 1856 Reviews
Some proof about our services for you