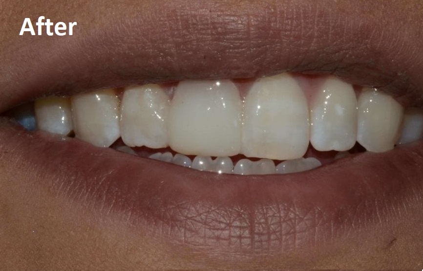
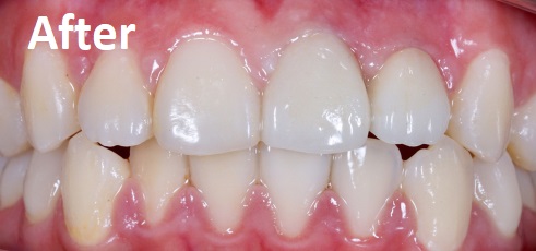
Crowns & Bridges

What happens if a missing tooth is not replaced?

What is less obvious is that, other than looks, a lost tooth, whether front or back, can also affect the health of the remaining teeth in your mouth if not replaced. When a tooth is lost, teeth on either side of the space will tilt towards the space. The tooth in the opposite jaw will over-erupt into the space. In time, it may contact the opposite gum, resulting in repeated biting which can cause ulcers.

These tooth movements also create gaps between teeth where food debris and bacteria will collect. As these gaps are especially difficult to clean, gum disease or tooth decay can result over time.

All these problems can be prevented by replacing your lost tooth promptly, more than that your lost function of eating will be restored.

Replacement after tilting and over-eruption have occurred can be difficult.

Crowns and Bridges – The real solution of having a fixed and functional artificial tooth.

The loss of a single tooth can have a major impact on your dental health and personal appearance. Your teeth support and rely on each other. When one or more teeth are missing, the remaining teeth can shift out of their normal position. Teeth adjacent to the space or from the opposite jaw will often drift or tilt. These teeth are often more susceptable to decay and gum disease because they are more difficult to clean around. All of this shifting and drifting will lead to changes in the bite, which may put stress on the jaws, muscles and teeth. Ultimately, your ability to chew comfortably and your appearance may be affected.

If tooth loss occurs, your dentist may recommend that a bridge be placed. A bridge consists of a replacement tooth/teeth attached to crowns on each side. The bridge is cemented to the teeth adjacent to the space, effectively replacing the missing tooth and preventing any shifting. Usually it involves two visits to have a fixed artificial tooth.

Rated ★★★★★ by Our Patients

Google Rating Score:5.0 of 5, based on 1748 Reviews

Some proof about our services for you

1 1
2 2
3 3
2 2

Watch Videos