ALIGNERS in Kakinada

Aligners:

Straight Teeth with Comfort and Confidence

Aligners are clear, removable orthodontic appliances used to straighten teeth without traditional metal braces. ALIGNERS in Kakinada are ideal for patients seeking a discreet and comfortable solution for correcting misaligned teeth. These custom-made aligners gradually move teeth into proper alignment while allowing you to smile with confidence throughout the treatment.

Unlike conventional braces, aligners are nearly invisible and can be removed for eating and oral hygiene. Designed using advanced digital technology, they offer precise, predictable results and a natural feel. With proper planning and patient compliance, aligners provide effective, long-lasting teeth alignment results.

AlignersStraightTeethwithComfortandConfidenc
CorrectionofMildtoModerateTeethMisalignmen (1)

Correction of Mild to Moderate Teeth Misalignment

Aligners are commonly used to correct:

  • Crooked or crowded teeth
  • Gaps between teeth
  • Mild overbite, underbite, or crossbite
  • Relapse after previous orthodontic treatment

Each aligner set is worn for a specific period and gradually moves teeth step by step into the desired position.

How Aligners Work

Aligner treatment involves a series of custom-made clear trays designed specifically for your teeth.

Step-by-Step Treatment Process

The First Step A detailed consultation is performed, including digital scans or impressions of your teeth. A customized treatment plan is created using advanced software to map the exact movement of your teeth. The Second Step A series of clear aligners are fabricated. Each aligner is worn for about 1–2 weeks and gradually shifts teeth into alignment. Regular follow-ups are scheduled to monitor progress. The Final Step Once the final aligner is completed, your teeth will be properly aligned. Retainers may be recommended to maintain the results.
ReplacementofTraditionalBraceswithAligner

Replacement of Traditional Braces with Aligners

Traditional metal braces are effective but often uncomfortable and visible. Aligners offer a modern alternative by:

  • Eliminating metal brackets and wires
  • Reducing irritation to gums and cheeks
  • Allowing easier oral hygiene
  • Providing a more aesthetic appearance

For many patients, ALIGNERS in Kakinada are a more convenient and lifestyle-friendly orthodontic solution

Correction of Multiple Teeth Alignment Issues

When several teeth are misaligned, aligners work by distributing controlled forces evenly across teeth. This ensures safe movement without excessive pressure on any single tooth.

Aligners are especially beneficial for adults and teenagers who want orthodontic correction without the inconvenience of fixed appliances.

Advantages of Aligners

  • Nearly invisible appearance
  • Comfortable and smooth design
  • Removable for eating and cleaning
  • Fewer clinic visits compared to braces
  • Predictable and planned results

With proper usage, aligners can provide highly effective outcomes.

Advanced Aligner Treatment Concepts

Clear Aligner Attachments
Small, tooth-colored attachments are bonded to teeth to help aligners apply precise pressure. They improve control over tooth movement, especially for rotations and complex corrections.

Tooth-Colored Propel Micro-Osteoperforation
A minimally invasive technique that creates tiny stimulations in the bone to accelerate tooth movement. It helps reduce overall treatment time while remaining safe and comfortable.

Clear Aligners with Rubber Bands
Elastic rubber bands are used along with aligners to correct bite issues such as overbite, underbite, or crossbite. They enhance jaw alignment and improve overall treatment effectiveness.

AdvancedAlignerTreatmentConcept

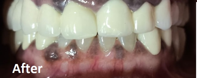
The Result

Aligner treatment allows patients to achieve straight, well-aligned, and natural-looking teeth with minimal discomfort. Treatment time is often shorter, with reduced pain and no significant impact on daily activities.

After Treatment Care

Just like natural teeth, aligned teeth require proper care. To maintain results after ALIGNERS in Kakinada treatment:

  • Wear retainers as advised
  • Maintain good oral hygiene
  • Attend regular dental check-ups
  • Avoid habits that may shift teeth

Proper aftercare ensures long-lasting alignment and a healthy smile.

Why Choose SBM Dental Hospital for Aligners Treatment in Kakinada?

Achieving your dream smile requires expert care and advanced technology. At SBM Dental Hospital, Kakinada, under the expertise of Dr. Pratyusha, we ensure every Invisalign and Clear Aligners treatment is precise, comfortable, and results-driven.

Expert Orthodontist – Dr. Pratyusha

Dr. Pratyusha, a highly skilled Orthodontist and Aligners Specialist, holds her Master’s in Orthodontics from Rajiv Gandhi University of Medical Sciences and a BDS from Bangalore Institute of Dental Sciences. With deep expertise in clear aligners, Invisalign, and general dentistry, she combines technology-driven orthodontics with personalized care to deliver confident, lasting smiles.

Advanced 3D Scanning & Digital Impressions

We use iTero digital scanning technology to capture detailed 3D images of your teeth—eliminating messy molds and enabling highly accurate, customized treatment plans tailored to your unique dental structure.

Custom-Made Aligners for Predictable Results

Our clear aligners are designed for comfort and effectiveness, gently aligning your teeth with minimal discomfort while ensuring smooth, predictable outcomes.

dr prathyusha - aligners specialist in kakinada

Aligners FAQ & details of the procedure

Aligners are clear, removable orthodontic appliances used to straighten teeth gradually. ALIGNERS in Kakinada offer an effective alternative to traditional metal braces with better comfort and aesthetics.

Aligners are suitable for patients with mild to moderate teeth misalignment, gaps, crowding, and bite issues. A dental evaluation is required to confirm eligibility.

The duration of aligner treatment varies depending on the complexity of the case. On average, treatment may take anywhere from 6 to 18 months.

Aligners may cause mild pressure or discomfort when a new set is worn, which is a sign that the teeth are moving. This usually subsides within a few days.

For effective results, aligners should be worn for 20 to 22 hours per day, removing them only while eating, drinking (except water), brushing, and flossing.

Aligners should be removed while eating or drinking anything other than water. This helps prevent damage to the aligners and maintains oral hygiene.

Aligners are made from clear, transparent material and are almost invisible, making them a discreet option for teeth straightening

Aligners should be cleaned daily using a soft toothbrush and lukewarm water. Avoid hot water, as it can warp the aligners.

Yes, retainers are usually recommended after completing aligner treatment to maintain the new position of your teeth and prevent shifting.

The cost of ALIGNERS in Kakinada depends on the complexity of the case and treatment duration. A detailed cost estimate is provided during consultation.

Rated ★★★★★ by Our Patients

Google Rating Score:5.0 of 5, based on 2079 Reviews

Some proof about our services for you

How We Can Help

The process of getting Invisalign is quicker and simpler than you might think. Here are a few steps you can take to a straighter, healthier smile:
  • Schedule your consultation. In order to begin the Invisalign system, your dentist at SBM Dental will do an examination to determine whether or not this system is right for you. Invisalign can treat a wide array of orthodontic issues— including overcrowding, malformed bites, gaps, misalignment, and more— so if you’re in generally good health, it is probable that this system will be beneficial to you.
  • Get fitted for your custom-made aligners. Your Invisalign trays are made specifically for your teeth, so there are a few steps your dentist will need to take for these custom-made trays to be manufactured. This includes taking dental impressions of your mouth, x-rays, photographs, and making a record of your bite.
  • Follow your Invisalign treatment plan. When using the Invisalign system, you will receive a new set of invisible aligners every two weeks. Be certain to wear them for at least 20-22 hours every day, and only really take them out for eating, brushing, and flossing if possible. You will set up appointments with your dentist at SBM Dental for every six weeks, which will allow us to track your progress. By following your dentist’s instructions for use and maintenance, you’ll begin seeing results in no time!
  • Enjoy your results. You’ll love your newly straightened smile. After your treatment is complete, your dentist will work with you to create a custom-made retainer. This will allow you to enjoy the results for the rest of your life!